Контакты филиалов

без выходных

с 10.00 до 23.00
Стоматология для тех, кто ценит
качество и спокойствие
Узнать цены

Бесплатная консультация стоматолога в Алматы

Услуги дантиста в Алматы

Лечение зубов по доступной цене в Алматы

Услуги

Услуги

Полный спектр стоматологических услуг — от профилактики до сложной хирургии. Работаем с любыми случаями, подбирая индивидуальный подход для каждого пациента
Посмотреть прайс

Наши преимущества

Опытная команда
Мы собрали экспертов с многолетним стажем, которые знают все тонкости своей области и работают с полной отдачей для вашего результата.
Лечение под седацией
Предлагаем лечение во сне (седация) для тех, кто испытывает страх перед стоматологами — без боли, без стресса, в полном комфорте.
Современное оборудование
Мы используем передовые технологии и новейшие стоматологические установки, чтобы диагностика и лечение были максимально точными, безопасными и эффективными.
Комфорт и забота
Создаём уютную атмосферу, где каждая деталь продумана для вашего спокойствия — от тёплого приёма до мягкого кресла и бережного отношения персонала.
Удобное время приёма
Работаем по гибкому графику — вы легко сможете записаться на приём в удобное для вас время, включая вечерние часы и выходные.

Лечение во сне

Современный и комфортный способ лечения без боли и страха. Мы используем седацию и наркоз севофлураном — щадящий и безопасный метод, который позволяет пациенту спокойно "уснуть" и проснуться уже с вылеченными зубами

Быстрое и легкое пробуждение без неприятных ощущений

Полное отсутствие боли и дискомфорта во время лечения

Узнать подробнее
Лечение во сне для детей и взрослых в Алматы
Все специалисты

Наши специалисты

Наши работы

Посмотреть все
Before After

Ислам Шамшидинович

Имплантолог, хирург, ортопед
Услуга: Имплантация
Срок лечения: 1 год 8 месяцев
Удаление всех несостоятельных Зубов ,по показаниям ,установка дентальных имплантов с моментальных протезированием ,несьемными временными конструкциями
Before After

Махмуд Османжанович

Детский стоматолог
Услуга: Лечение кариеса
Срок лечения: 1 посещение
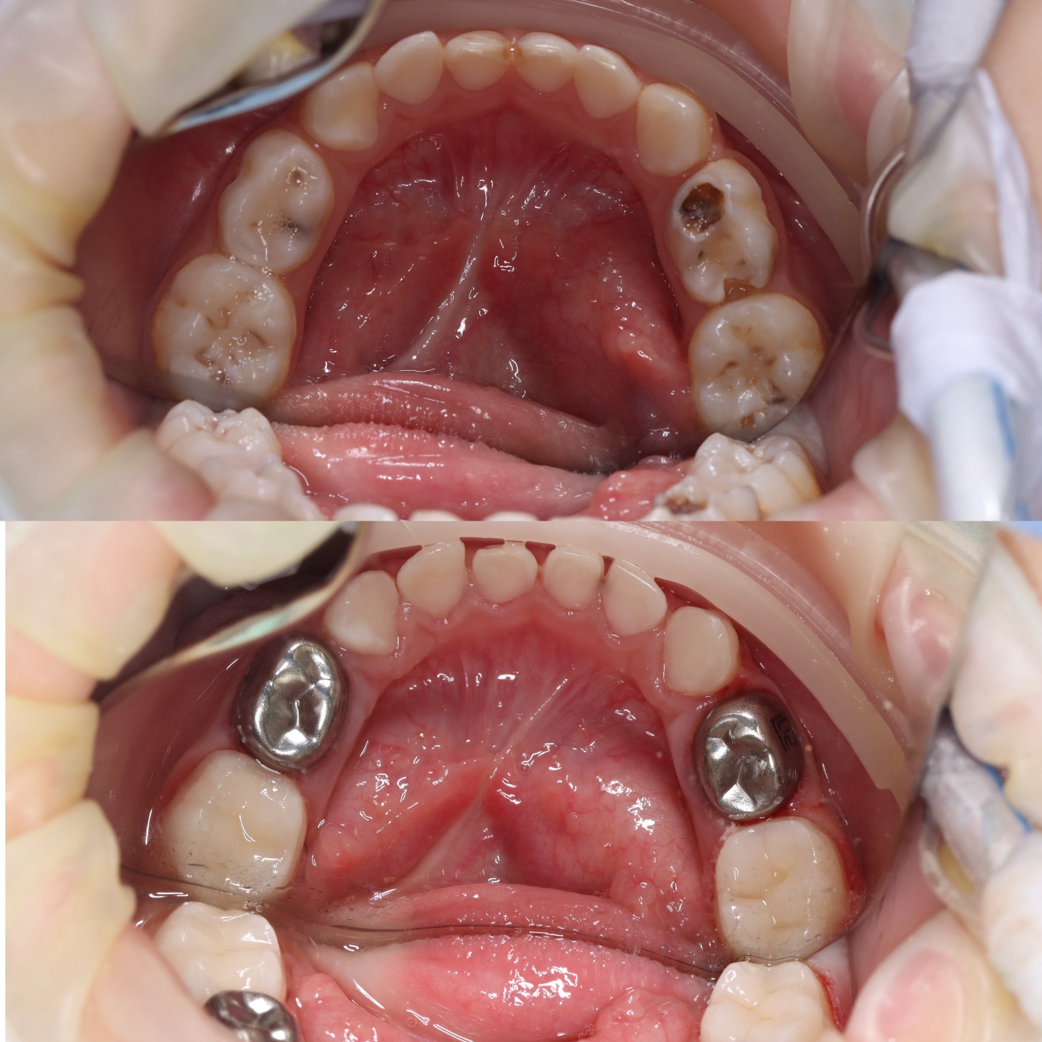
Ребенок 2.5 года Пролечили 14 Зубов. 4 пульпита и 10 кариесов
Before After

Назым Нурлановна

Ортодонт
Услуга: Ортодонтия
Срок лечения:
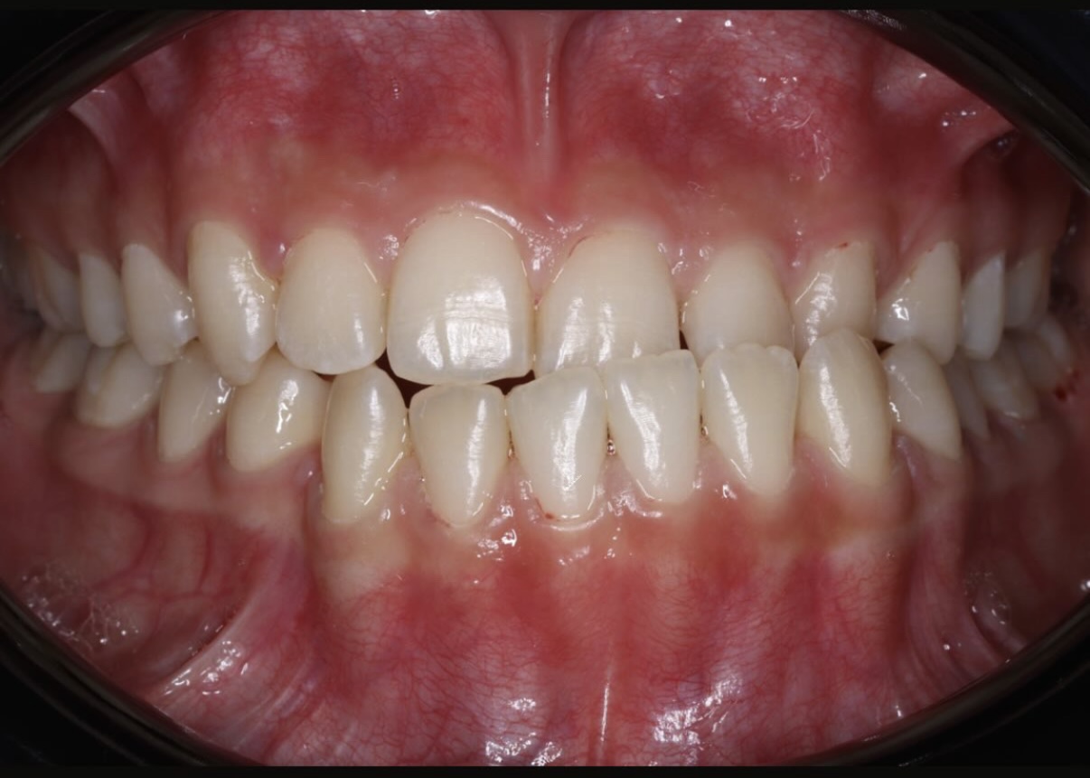
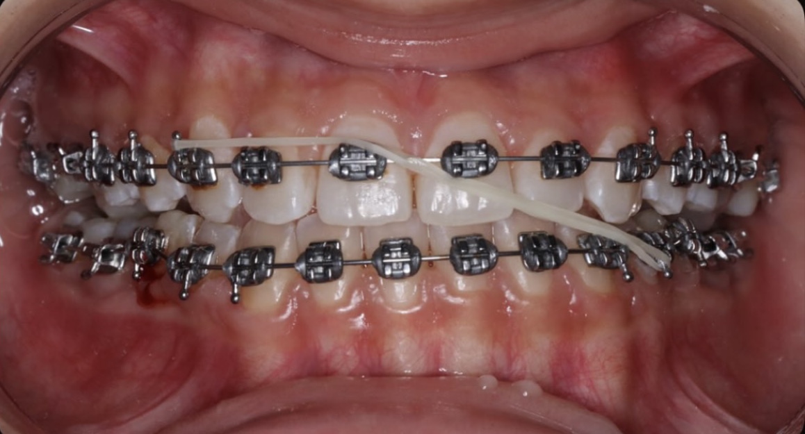
Пациентке 18 лет, обратилась с жалобами на неровные зубы, неправильное смыкание и эстетический дискомфорт. Установлена лигатурная брекет-система Постепенно выравниваем зубные ряды и раскрываем прикус. Улыбка уже изменилась Профиль стал мягче, а прикус правильнее.
Before After

Гульдара Жанартовна

Терапевт, Хирург
Услуга: Хирургия
Срок лечения:
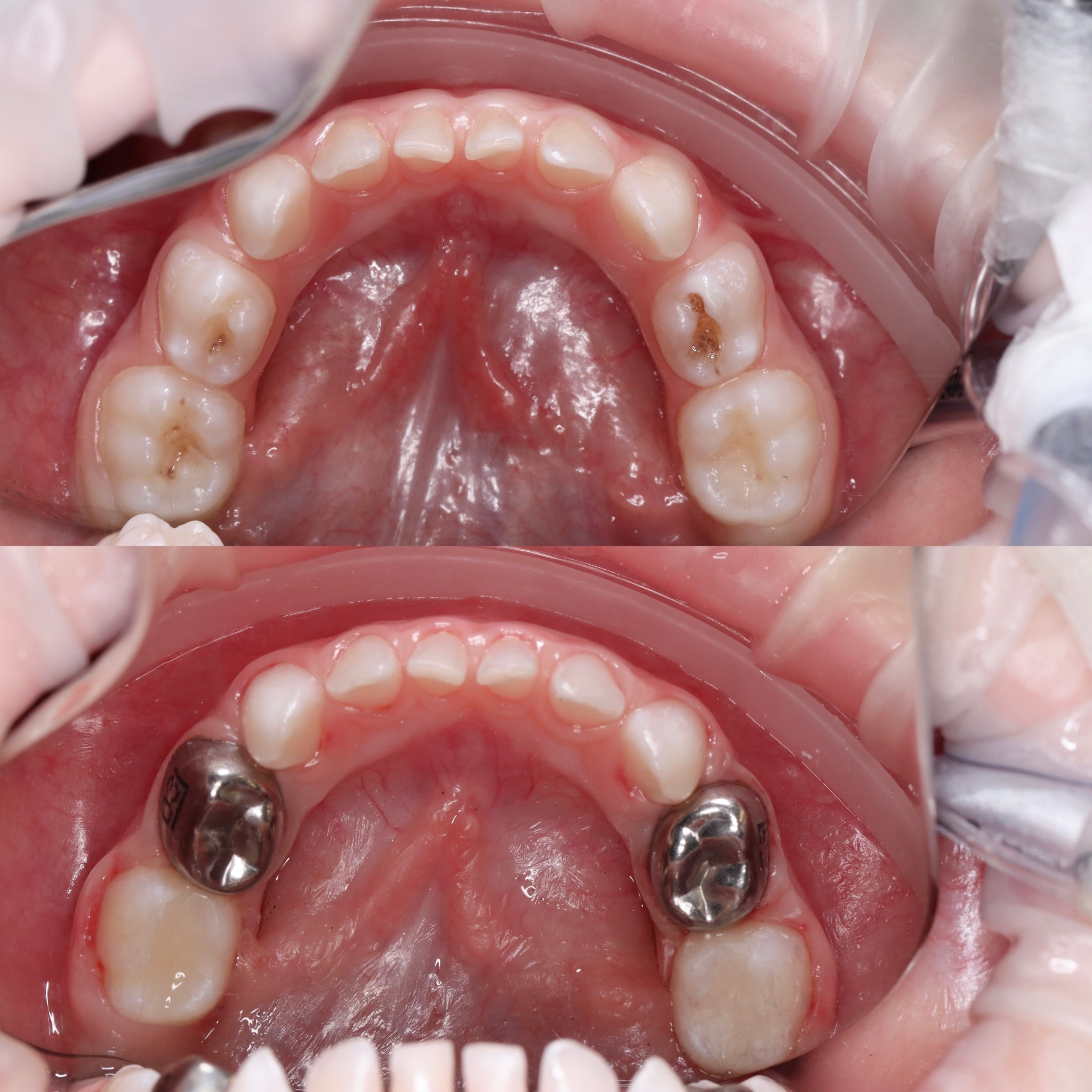
Ребенок 2,5 года. Лечение кариеса и его осложнений с восстановлением жевательной функции при помощи металлических коронок трех молочных жевательных зубов, т.к на этих зубах были крупные повреждения кариозным процессом. Лечение проходило в условиях общего наркоза
Before After

Ислам Шамшидинович

Имплантолог, хирург, ортопед
Услуга: Имплантация
Срок лечения: 1 год 8 месяцев
На верхней челюсти были установлены дентальные импланты с циркониевыми коронками ,на нижней челюсти циркониевые коронки и виниры
Before After

Гульдара Жанартовна

Терапевт, Хирург
Услуга: Хирургия
Срок лечения:
Ребенок 4 года. Лечение кариеса и его осложнений с восстановлением жевательной функции по помощи коронок + удаление трех передних молочных Зубов в условии общего наркоза
Before After

Услуга:
Срок лечения:
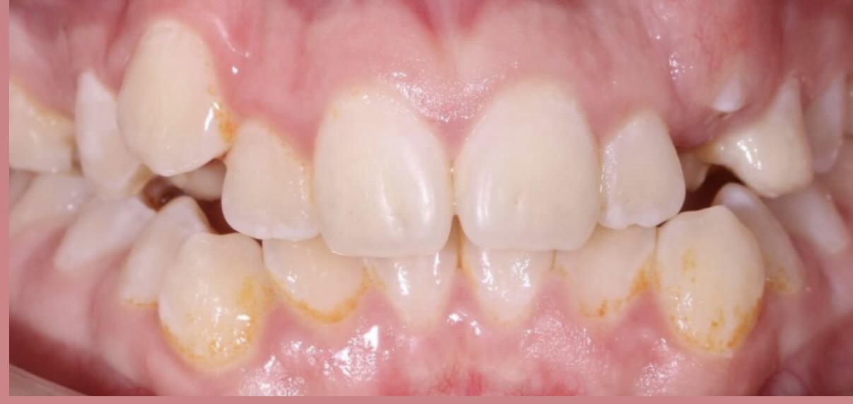
На фото — исходное состояние до установки брекет-системы. В данном клиническом случае, мы можем наблюдать выраженное несоответствие положения челюстей в сомкнутом состоянии. Зубы нижней челюсти перекрывают верхние. Скученность, дефицит места. Отсутствие постоянного жевательного зуба. Установлена брекет система, произведена работа по нормализации положения зубов и коррекции смыкания. Данный кейс в промежуточном этапе лечения, в дальнейшем предстоит финальная дороботка зубных рядов, с восстановлением утраченного зуба
Before After

Назым Нурлановна

Ортодонт
Услуга: Ортодонтия
Срок лечения: 6 месяцев
Пациентке 16 лет. Обратилась с жалобой, на неправильное смыкание зубов в боковом сегменте справа. На брекет системе исправили перекрестный прикус. Срок ношения брекетов 6 месяцев.
Before After

Темирлан Димашевич

Терапевт, детский хирург
Услуга: Хирургия
Срок лечения: 6 месяцев
Средний кариес 36 зуба
Before After

Назым Нурлановна

Ортодонт
Услуга: Ортодонтия
Срок лечения: 2 года
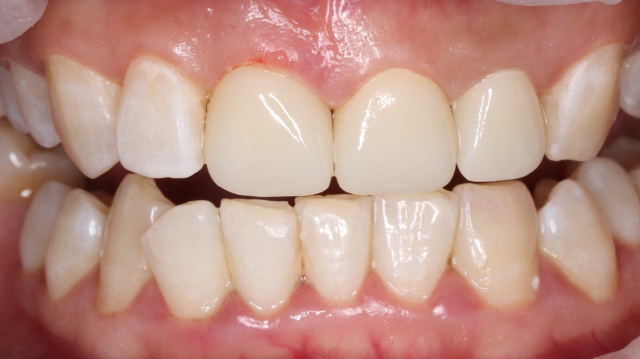
Пациентке 32 года. Установлены южнокорейские брекеты. Жалобы, на неправильное положение боковых резцов, неправильное смыкание зубных рядов. Срок лечения год и 7 месяцев После снятия брекетов, сделали художественную реставрацию зуба 1.2 и 2.1
Before After

Темирлан Димашевич

Терапевт, детский хирург
Услуга: Хирургия
Срок лечения: 2 года
Ребенку 4,5 года. Лечили 12 зубов под севораном
Before After

Жарас Зангарович

Услуга:
Срок лечения:
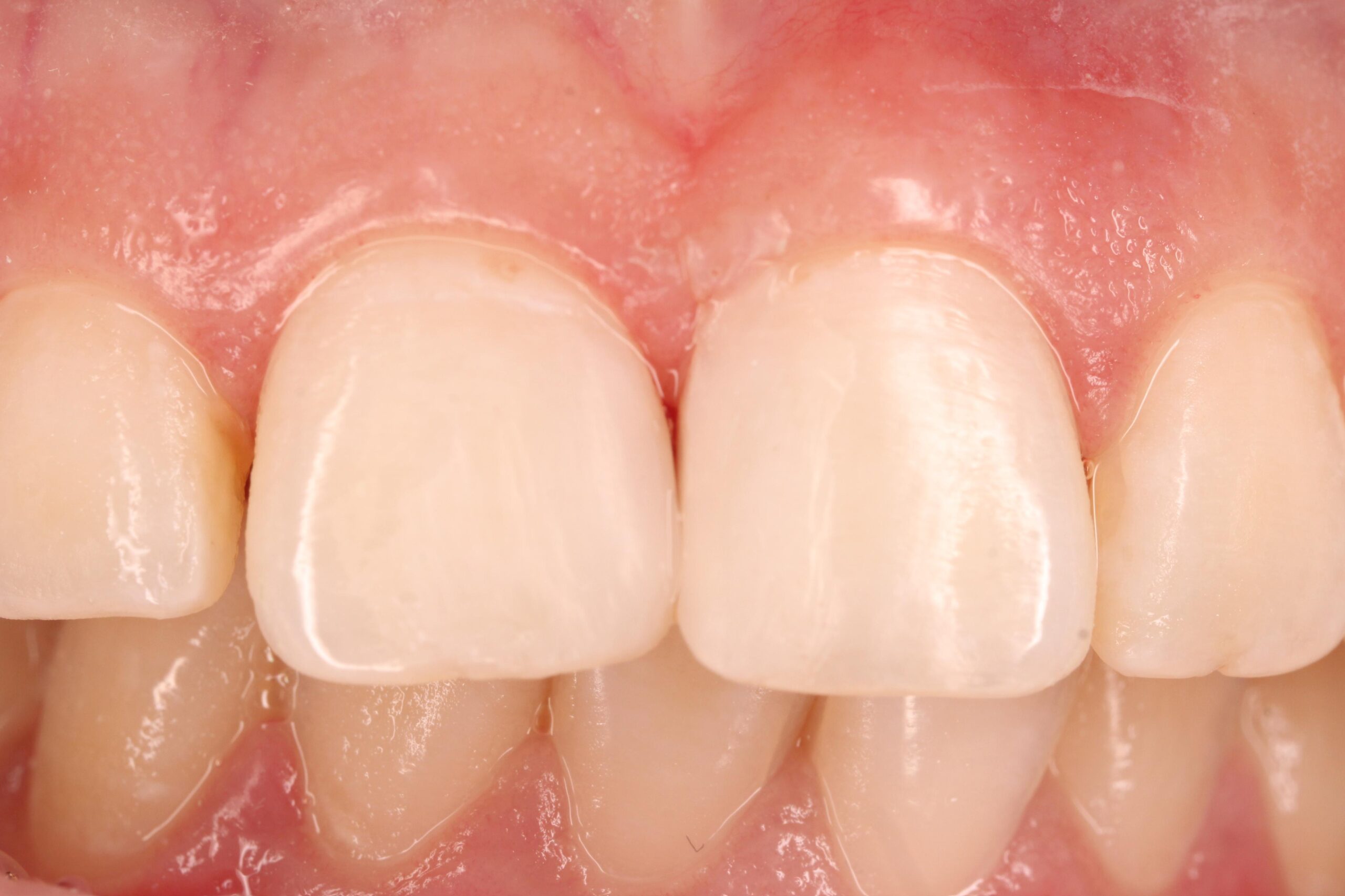
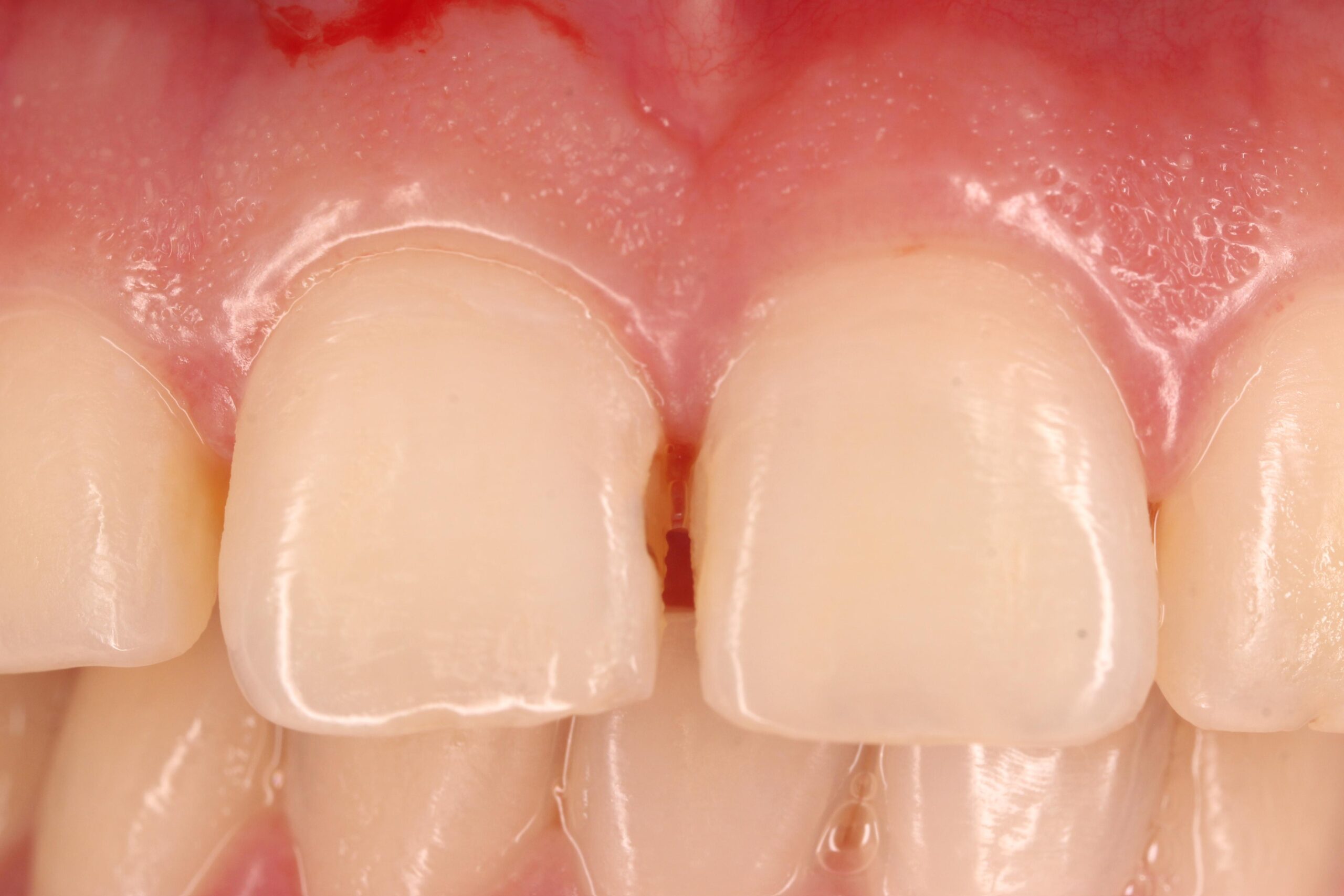
Художественная реставрация, закрытие диастемы
Before After

Жарас Зангарович

Услуга:
Срок лечения:
Постэндодонтическая пломбирование 36 зуба
Before After

Жарас Зангарович

Услуга:
Срок лечения:
Восстановление 25 зуба под циркониевую коронку
Before After

Услуга:
Срок лечения:
Before After

Назым Нурлановна

Ортодонт
Услуга: Ортодонтия
Срок лечения: 2 года
Пациент 8 лет. Обратились с жалобой на скученность и на не правильное смыкание зубов. Проводится лечение аппаратом Марко Росса, частично были установлены брекеты для коррекции положения фронтальных зубов.
Before After

Жарас Зангарович

Услуга:
Срок лечения:
11,21,22 зуб коронки из диоксид циркония
Before After

Назым Нурлановна

Ортодонт
Услуга: Ортодонтия
Срок лечения:
Пациент обратился с выраженной скученностью зубов и нарушением положения фронтальной группы. Установлена лигатурная брекет-система для поэтапного выравнивания зубных рядов и улучшения окклюзии. Уже на промежуточном этапе отмечается положительная динамика и упорядочивание положения зубов.
Before After

Темирлан Димашевич

Терапевт, детский хирург
Услуга: Хирургия
Срок лечения:
Замена несостоятельных пломб и вторичный кариес под пломбой 36 37 зуба
Запишитесь на бесплатную
консультацию с врачом
Оставьте заявку, мы свяжется с вами в ближайшее время
Заявка с сайта даёт скидку 10% на лечение

    Удобный способ для связи

    Отправляя данные Вы соглашаетесь Политикой конфиденциальности

    Или звоните нам, работаем без выходных с 10.00 до 23.00
    +7 (700) 091 91 41
    +7 (708) 091 91 41

    Максатова Кристина

    Менеджер

    Мы — современная стоматологическая клиника, где работают опытные врачи и используется современное оборудование

    Лечим взрослых и детей, делаем всё, чтобы пациент чувствовал себя спокойно и уверенно. Предлагаем полный спектр услуг — от профилактики и лечения кариеса до сложной имплантации и восстановления улыбки
    10+

    Года успешной работы
    в стоматологии

    10 000+

    Довольных пациентов
    каждый год

    10+

    Лет успешной работы
    в стоматологии

    10 000+

    Довольных пациентов
    каждый год

    Стаж: +5 лет
    Ортодонт, терапевт
    Назым Нурлановна
    Стаж: 10 лет
    Детский терапевт
    Махмуд Османжанович
    Стаж: +5 лет
    Терапевт
    Аида Баубековна
    Стаж: +5 лет
    терапевт, детский хирург
    Гульдара Жанартовна
    Стаж: 5+ лет
    детский, взрослый врач стоматолог
    Темирлан Димашевич
    Стаж: 5+ лет
    стоматолог-терапевт
    Асыл Султанович
    Стаж: 10+ лет
    имплантолог, хирург, ортопед
    Ислам Шамшидинович

    Отзывы

    Прошло 2 года после установки виниров и имплантов — ощущение, будто я с этими зубами родилась! Результат идеальный, никакого дискомфорта. Безмерно благодарна врачу Исламу Шамшидиновичу за его мастерство и всей команде клиники за чуткость и профессионализм. В этом году закончили полное лечение и протезирование моему брату — он тоже очень доволен. Ни боли, ни страха — только удовольствие приходить в эту стоматологию!
    Отзыв из 2гис

    Bayansulu Nuraliyeva

    установки виниров и имплантов

    Хочу написать отзыв и поблагодарить Назым Нурлановну❤️ Она прекрасный стоматолог, профессионал своего дела. Пролечила все зубы у нее, вообще безболезненно и приятно прошло лечение😊 Она сама тоже очень приятная, советую данную клинику, персонал тоже приветливый👍🏻👍🏻
    Отзыв из 2гис

    Assylzhan Nurlankyzy

    Пролечила все зубы

    Хочу от всей души поблагодарить клинику Ala Clinic и особенно теперь уже 100000% нашего стоматолога Гульдару Жанартовну! Мы привели на приём нашу маленькую дочь, и, честно говоря, очень волновались как она всё перенесёт. Но Гульдара Жанартовна просто волшебница! С такой добротой, теплотой и профессионализмом она подошла к ребёнку, что страх улетучился буквально за минуту. Вся процедура прошла спокойно, быстро и без боли. Мы были поражены, насколько бережно и внимательно доктор относится к процессу. Дочка вышла с улыбкой и даже сказала что “это было совсем не страшно”. Также хочется сказать спасибо ассистенту Камилям очень милая и внимательная, видно, что поддерживает и помогает доктору на все 100%. Спасибо вам за человечность , заботу и профессионализм. Теперь мы точно знаем, к кому идти, если нужно качественное и чуткое лечение!
    Отзыв из 2гис

    Низамдун Даутов

    Посмотреть отзывы :

    Часто задаваемые вопросы

    {FAQ}

    {01}
    Больно ли лечить зубы?
    Нет, современная стоматология позволяет проводить лечение без боли. Мы используем новейшие анестетики, которые делают процедуру максимально комфортной.
    {02}
    Какие виды анестезии используются?
    Мы применяем как местную, так и седацию (лёгкий сон), в зависимости от сложности процедуры и пожеланий пациента. Всё абсолютно безопасно и под контролем врача.
    {03}
    Как понять, что мне нужен имплант?
    Имплант необходим, если отсутствует один или несколько зубов, а соседние зубы не должны быть обточены. Врач оценивает состояние костной ткани и подбирает подходящий вариант после диагностики.
    {04}
    Можно ли вылечить кариес без сверления?
    На ранних стадиях кариес действительно можно остановить без сверления — с помощью реминерализирующей терапии. Но при среднем и глубоком кариесе необходимо удаление поражённых тканей.
    {05}
    Как ухаживать за зубами после отбеливания?
    Избегайте окрашивающих продуктов (кофе, чай, вино) в течение 48 часов, используйте мягкую щётку и не забывайте про гигиену. Также желательно применять пасту для чувствительных зубов в первые дни.

    Статьи

    Подробнее

    Правильный выбор зубной щетки – залог здоровья ваших зубов и десен. Какой жесткости отдать предпочтение? Какие щетинки лучше очищают эмаль?

    Контакты

    Адрес

    ​ЖК ALA PARK ​Улица Егизбаева,
    5 к4​1 этаж
    Бостандыкский район, Алматы,
    050046

    Телефон

    +7 (708) 091 91 41

    Работаем

    Ежедневно с 10:00 до 23:00

    Адрес

    ЖК «Nomad» ​Улица Толе би,
    189/3
    корпус 2
    Алмалинском район, Алматы,
    050009

    Телефон

    +7 (700) 091 91 41

    Работаем

    Ежедневно с 10:00 до 23:00
    Написать в WhatsApp