Контакты филиалов

без выходных

с 10.00 до 23.00

Наши работы

Before After

Ислам Шамшидинович

Имплантолог, хирург, ортопед
Услуга: Имплантация
Срок лечения: 1 год 8 месяцев
Удаление всех несостоятельных Зубов ,по показаниям ,установка дентальных имплантов с моментальных протезированием ,несьемными временными конструкциями
×
Before After
Услуга: Имплантация
Удаление всех несостоятельных Зубов ,по показаниям ,установка дентальных имплантов с моментальных протезированием ,несьемными временными конструкциями
Before After

Махмуд Османжанович

Детский стоматолог
Услуга: Лечение кариеса
Срок лечения: 1 посещение
Ребенок 2.5 года Пролечили 14 Зубов. 4 пульпита и 10 кариесов
×
Before After
Услуга: Лечение кариеса
Ребенок 2.5 года Пролечили 14 Зубов. 4 пульпита и 10 кариесов
Before After

Ислам Шамшидинович

Имплантолог, хирург, ортопед
Услуга: Имплантация
Срок лечения: 1 год 8 месяцев
На верхней челюсти были установлены дентальные импланты с циркониевыми коронками ,на нижней челюсти циркониевые коронки и виниры
×
Before After
Услуга: Имплантация
На верхней челюсти были установлены дентальные импланты с циркониевыми коронками ,на нижней челюсти циркониевые коронки и виниры
Before After

Назым Нурлановна

Ортодонт
Услуга: Ортодонтия
Срок лечения: 6 месяцев
Пациентке 16 лет. Обратилась с жалобой, на неправильное смыкание зубов в боковом сегменте справа. На брекет системе исправили перекрестный прикус. Срок ношения брекетов 6 месяцев.
×
Before After
Услуга: Ортодонтия
Пациентке 16 лет. Обратилась с жалобой, на неправильное смыкание зубов в боковом сегменте справа. На брекет системе исправили перекрестный прикус. Срок ношения брекетов 6 месяцев.
Before After

Темирлан Димашевич

Терапевт, детский хирург
Услуга: Хирургия
Срок лечения: 6 месяцев
Средний кариес 36 зуба
×
Before After
Услуга: Хирургия
Средний кариес 36 зуба
Before After

Махмуд Османжанович

Детский стоматолог
Услуга: Лечение кариеса
Срок лечения: 1 посещение
Девочка 4 года. Жалобы на на боли и на эстетический дефект. Было лечение 12 зубов.
×
Before After
Услуга: Лечение кариеса
Девочка 4 года. Жалобы на на боли и на эстетический дефект. Было лечение 12 зубов.
Before After

Назым Нурлановна

Ортодонт
Услуга: Ортодонтия
Срок лечения: 2 года
Пациентке 32 года. Установлены южнокорейские брекеты. Жалобы, на неправильное положение боковых резцов, неправильное смыкание зубных рядов. Срок лечения год и 7 месяцев После снятия брекетов, сделали художественную реставрацию зуба 1.2 и 2.1
×
Before After
Услуга: Ортодонтия
Пациентке 32 года. Установлены южнокорейские брекеты. Жалобы, на неправильное положение боковых резцов, неправильное смыкание зубных рядов. Срок лечения год и 7 месяцев После снятия брекетов, сделали художественную реставрацию зуба 1.2 и 2.1
Before After

Темирлан Димашевич

Терапевт, детский хирург
Услуга: Хирургия
Срок лечения: 2 года
Ребенку 4,5 года. Лечили 12 зубов под севораном
×
Before After
Услуга: Хирургия
Ребенку 4,5 года. Лечили 12 зубов под севораном
Before After

Темирлан Димашевич

Терапевт, детский хирург
Услуга: Хирургия
Срок лечения: 6 месяцев
Ребенку 1 год. Лечили 4 передних зуба под севораном
×
Before After
Услуга: Хирургия
Ребенку 1 год. Лечили 4 передних зуба под севораном
Before After

Аида Баубековна

Терапевт
Услуга: Терапия
Срок лечения: 1 год и 8 месяцев
Пациент 32 года. Лечение пришеечного кариеса
×
Before After
Услуга: Терапия
Пациент 32 года. Лечение пришеечного кариеса
Before After

Назым Нурлановна

Ортодонт
Услуга: Ортодонтия
Срок лечения: 6 месяцев
Пациентке 25 лет Лечение перекрестного прикуса на брекетах American Ortodontics
×
Before After
Услуга: Ортодонтия
Пациентке 25 лет Лечение перекрестного прикуса на брекетах American Ortodontics
Before After

Назым Нурлановна

Ортодонт
Услуга: Ортодонтия
Срок лечения: 1 год и 7 месяцев
Пациентке 32 года. Установлены южнокорейские брекеты. Жалобы, на неправильное положение боковых резцов, неправильное смыкание зубных рядов. После снятия брекетов, сделали художественную реставрацию зуба 1.2 и 2.1
×
Before After
Услуга: Ортодонтия
Пациентке 32 года. Установлены южнокорейские брекеты. Жалобы, на неправильное положение боковых резцов, неправильное смыкание зубных рядов. После снятия брекетов, сделали художественную реставрацию зуба 1.2 и 2.1
Before After

Назым Нурлановна

Ортодонт
Услуга: Ортодонтия
Срок лечения: 4 месяца
Пациенту 7 лет Изготовлена сьемная пластинка на верхнюю челюсть За 4 месяца исправили перекрестное перекрытие резцов
×
Before After
Услуга: Ортодонтия
Пациенту 7 лет Изготовлена сьемная пластинка на верхнюю челюсть За 4 месяца исправили перекрестное перекрытие резцов
Before After

Назым Нурлановна

Ортодонт
Услуга: Ортодонтия
Срок лечения: 1 год и 8 месяцев
Завершено ортодонтическое лечение за 1 год 8 месяцев Совместная работа с врачом имплантологом
×
Before After
Услуга: Ортодонтия
Завершено ортодонтическое лечение за 1 год 8 месяцев Совместная работа с врачом имплантологом
Before After

Темирлан Димашевич

Терапевт, детский хирург
Услуга: Хирургия
Срок лечения: 1 год и 8 месяцев
Реставрация 2.1 зуба
×
Before After
Услуга: Хирургия
Реставрация 2.1 зуба
Before After

Аида Баубековна

Терапевт
Услуга: Терапия
Срок лечения: 1 год и 8 месяцев
Пациент 15 лет. Лечение глубокого кариеса. С Восстановлением анатомии зуба
×
Before After
Услуга: Терапия
Пациент 15 лет. Лечение глубокого кариеса. С Восстановлением анатомии зуба
Before After

Аида Баубековна

Терапевт
Услуга: Терапия
Срок лечения: 1 год и 8 месяцев
Ребенок 3,5 года. Лечение под газом севоран. Пролечили 15 зубов и один зубик на удаление. 3 цирконевых коронок и 4 металических коронок
×
Before After
Услуга: Терапия
Ребенок 3,5 года. Лечение под газом севоран. Пролечили 15 зубов и один зубик на удаление. 3 цирконевых коронок и 4 металических коронок
Before After

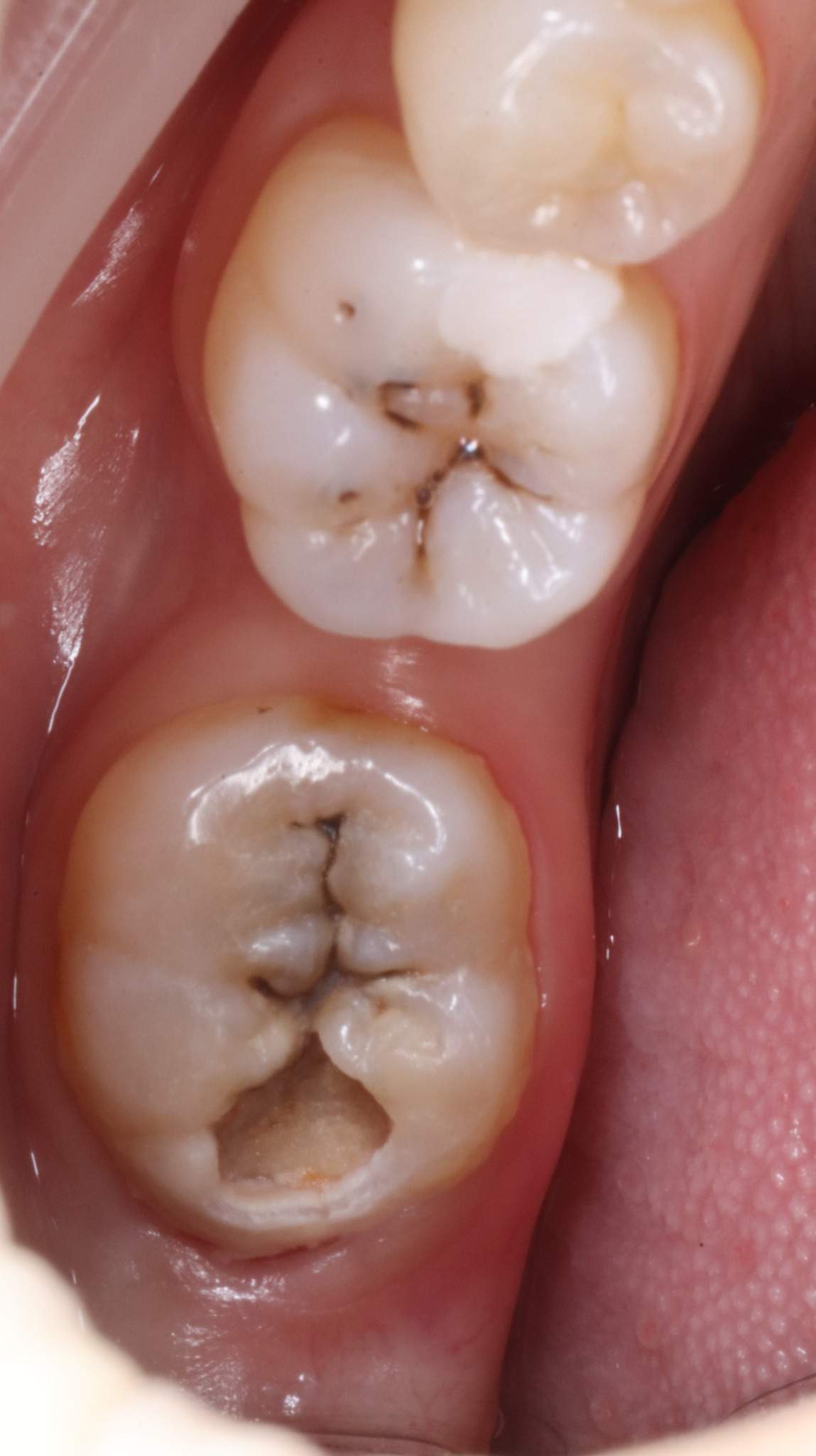
Услуга:
Срок лечения:
26, 27 замена несостоятельных пломб и лечение вторичных кариесов
×
Before After
Услуга:
26, 27 замена несостоятельных пломб и лечение вторичных кариесов
Before After

Услуга:
Срок лечения:
Зуб 16, лечение методом витальной ампутации.
×
Before After
Услуга:
Зуб 16, лечение методом витальной ампутации.
Before After

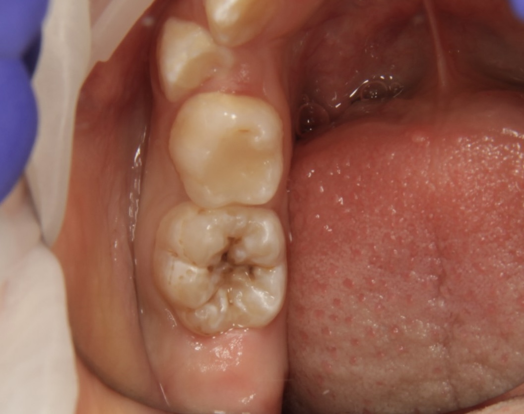
Услуга:
Срок лечения:
Средний кариес45 46 47 зуба
×
Before After
Услуга:
Средний кариес45 46 47 зуба
Before After

Услуга:
Срок лечения:
Девочка 9 лет. Лечение глубокого кариеса постоянного жевательного (4.6) зуба
×
Before After
Услуга:
Девочка 9 лет. Лечение глубокого кариеса постоянного жевательного (4.6) зуба
Before After

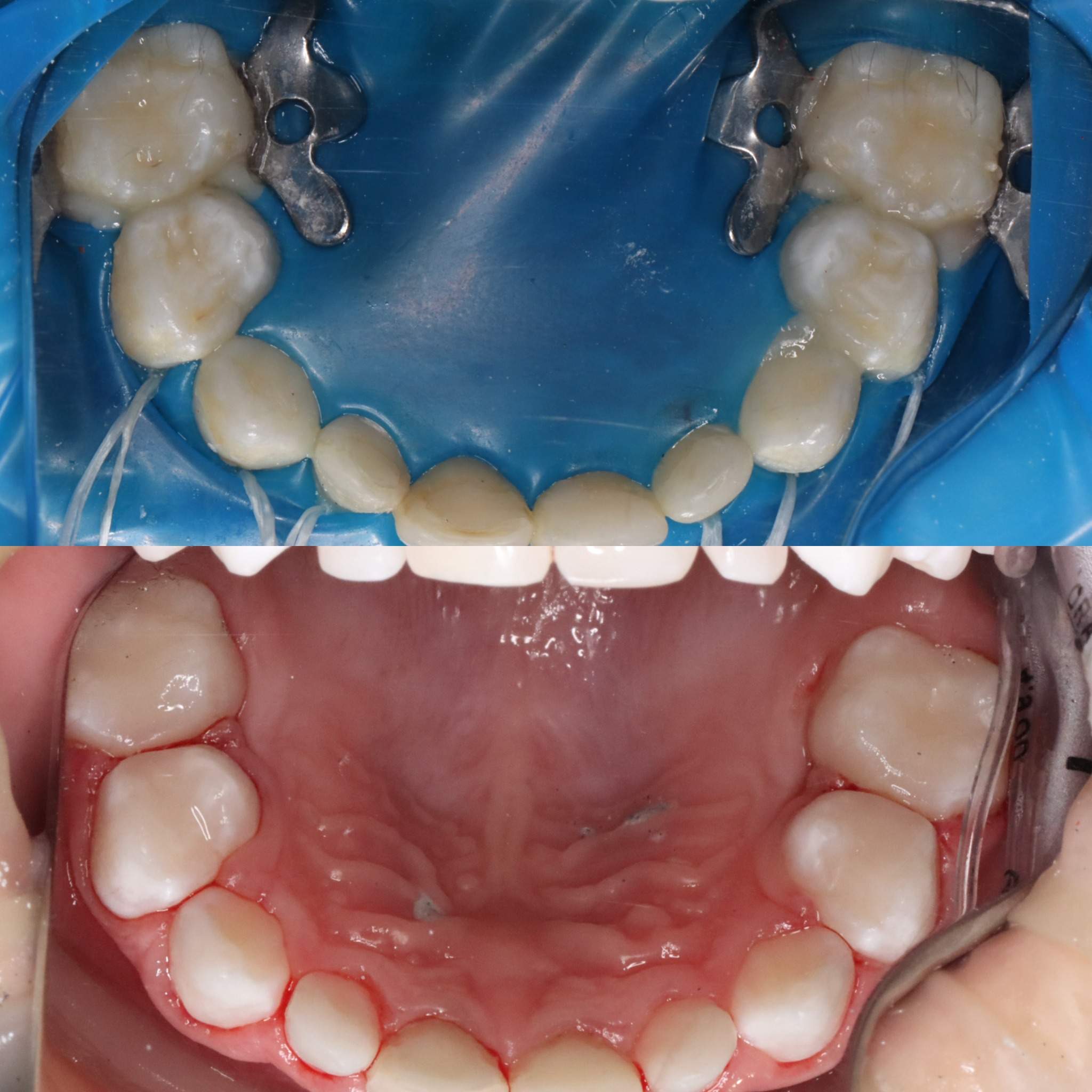
Услуга:
Срок лечения:
Ребенок 2 года. Лечение одного глубокого кариеса молочного жевательного зуба и герметизация 7 жевательных Зубов в условии общей анестезии
×
Before After
Услуга:
Ребенок 2 года. Лечение одного глубокого кариеса молочного жевательного зуба и герметизация 7 жевательных Зубов в условии общей анестезии
Before After

Услуга:
Срок лечения:
48 зуб пульпит (двухканальный)
×
Before After
Услуга:
48 зуб пульпит (двухканальный)
Before After

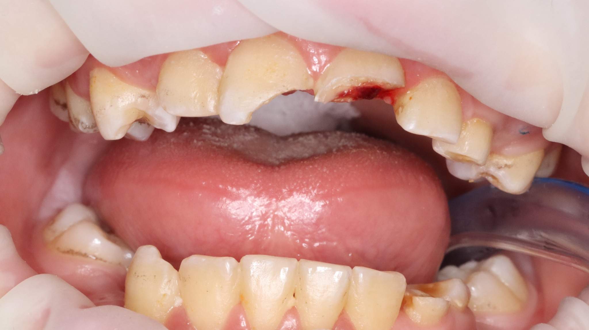
Услуга:
Срок лечения:
Ребенок 12 лет. Упал на землю и выбил два передних зубика. Было принято решение пролечить зубы в условиях общего наркоза. В следствий травмы 11,21 зуб пульпит
×
Before After
Услуга:
Ребенок 12 лет. Упал на землю и выбил два передних зубика. Было принято решение пролечить зубы в условиях общего наркоза. В следствий травмы 11,21 зуб пульпит
Написать в WhatsApp